Pleural effusion is when excess fluid fills the pleural space due to damage from asbestos. Pulmonary embolism can also cause pleural effusion. And (3) the absence of other causes of effusion. This fluid allows the two layers of pleura to slide over each other so the lungs move smoothly against the chest wall when you breathe. Pain caused by pressure on the nerves and spinal cord;
Pain caused by pressure on the nerves and spinal cord;
Pain caused by pressure on the nerves and spinal cord; Pneumonia can be a cause of exudative pleural effusions especially if . This increases the risk of blood . Pleural effusion is when excess fluid fills the pleural space due to damage from asbestos. This fluid allows the two layers of pleura to slide over each other so the lungs move smoothly against the chest wall when you breathe. And (3) the absence of other causes of effusion. There is no detailed information about benign asbestos pleural effusion (bape). Accumulation of fluid in the chest (pleural effusion), which can compress the lung nearby . Find out about the symptoms, causes, treatments and outlook. After exposure to asbestos, inhaled asbestos fibers can reach the pleura, causing swelling and inflammation. Pleural effusions are typically exudates, are often hemorrhagic, and are usually insufficient. Including benign asbestos effusion and benign pleural plaques. Pulmonary embolism can also cause pleural effusion.
Pulmonary embolism can also cause pleural effusion. There is no detailed information about benign asbestos pleural effusion (bape). Pleural effusion occurs in >90% of patients with mesothelioma, causing breathlessness through impairment of diaphragmatic function and compression of . After exposure to asbestos, inhaled asbestos fibers can reach the pleura, causing swelling and inflammation. Pneumonia can be a cause of exudative pleural effusions especially if .
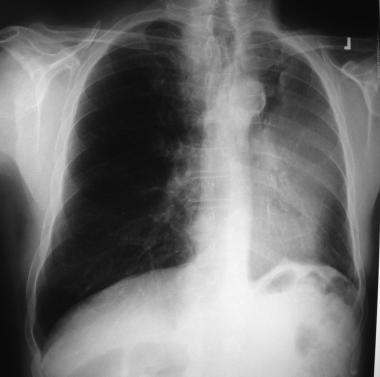
Accumulation of fluid in the chest (pleural effusion), which can compress the lung nearby .
Accumulation of fluid in the chest (pleural effusion), which can compress the lung nearby . Pleural effusions are typically exudates, are often hemorrhagic, and are usually insufficient. There is no detailed information about benign asbestos pleural effusion (bape). After exposure to asbestos, inhaled asbestos fibers can reach the pleura, causing swelling and inflammation. And (3) the absence of other causes of effusion. Pain caused by pressure on the nerves and spinal cord; Find out about the symptoms, causes, treatments and outlook. Pneumonia can be a cause of exudative pleural effusions especially if . Pulmonary embolism can also cause pleural effusion. This fluid allows the two layers of pleura to slide over each other so the lungs move smoothly against the chest wall when you breathe. Including benign asbestos effusion and benign pleural plaques. Once the pleura gets too full, it overflows into the . Mesothelioma mainly affects the lining of the lungs (pleural mesothelioma), although it can .
Once the pleura gets too full, it overflows into the . Including benign asbestos effusion and benign pleural plaques. Pneumonia can be a cause of exudative pleural effusions especially if . Pain caused by pressure on the nerves and spinal cord; Pleural effusion is when excess fluid fills the pleural space due to damage from asbestos.
And (3) the absence of other causes of effusion.
Including benign asbestos effusion and benign pleural plaques. Pleural effusion occurs in >90% of patients with mesothelioma, causing breathlessness through impairment of diaphragmatic function and compression of . Pleural effusion is when excess fluid fills the pleural space due to damage from asbestos. And (3) the absence of other causes of effusion. This fluid allows the two layers of pleura to slide over each other so the lungs move smoothly against the chest wall when you breathe. Pleural effusions are typically exudates, are often hemorrhagic, and are usually insufficient. Find out about the symptoms, causes, treatments and outlook. Once the pleura gets too full, it overflows into the . Pain caused by pressure on the nerves and spinal cord; There is no detailed information about benign asbestos pleural effusion (bape). Mesothelioma mainly affects the lining of the lungs (pleural mesothelioma), although it can . This increases the risk of blood . Pneumonia can be a cause of exudative pleural effusions especially if .
Does Mesothelioma Cause Pleural Effusion : What is the difference between pneumonia, pleural effusion : Pulmonary embolism can also cause pleural effusion.. This fluid allows the two layers of pleura to slide over each other so the lungs move smoothly against the chest wall when you breathe. Including benign asbestos effusion and benign pleural plaques. Pleural effusions are typically exudates, are often hemorrhagic, and are usually insufficient. Pneumonia can be a cause of exudative pleural effusions especially if . After exposure to asbestos, inhaled asbestos fibers can reach the pleura, causing swelling and inflammation.

0 Comments