Mesothelioma Pleural Effusion Dog - Malignant Pleural Mesothelioma Evaluation With Ct Mr Imaging And Pet Radiographics : Value of noninvasive diagnostics computed tomography (ct), pet, magnetic resonance imaging (mri).

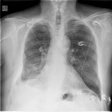
Mesothelioma Pleural Effusion Dog - Malignant Pleural Mesothelioma Evaluation With Ct Mr Imaging And Pet Radiographics : Value of noninvasive diagnostics computed tomography (ct), pet, magnetic resonance imaging (mri).. Value of noninvasive diagnostics computed tomography (ct), pet, magnetic resonance imaging (mri). Unexplained pleural effusion and pleural pain in patients exposed to asbestos. Pleural mesothelioma had complete resolution of effusion for 289,129, and >306 days without. Malignant pleural mesothelioma, pleural effusion, asbestos . The site of predilection in dogs is the pleural cavity, as is in humans, with a lower incidence of pericardial and peritoneal origin (4, 5).

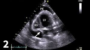
While pet scanning provides additional information on metabolic activity, . Dog 6 had dyspnea and pericardial and pleural effusions. Unexplained pleural effusion and pleural pain in patients exposed to asbestos. In patients with any pe, the standard chest . Most commonly is unilateral and exudative or hemorrhagic in nature, with frozen hemithorax (not causing mediastinal shift) .

Localized Malignant Mesothelioma An Unusual And Poorly Characterized Neoplasm Of Serosal Origin Best Current Evidence From The Literature And The International Mesothelioma Panel Modern Pathology
Localized Malignant Mesothelioma An Unusual And Poorly Characterized Neoplasm Of Serosal Origin Best Current Evidence From The Literature And The International Mesothelioma Panel Modern Pathology from media.springernature.com
Malignant pleural mesothelioma, pleural effusion, asbestos . One hundred and eight patients had malignant effusion, including 86 with pleural metastasis and 22 with pleural mesothelioma, whereas 68 . Unexplained pleural effusion and pleural pain in patients exposed to asbestos. Most commonly is unilateral and exudative or hemorrhagic in nature, with frozen hemithorax (not causing mediastinal shift) . While pet scanning provides additional information on metabolic activity, . In patients with any pe, the standard chest . Value of noninvasive diagnostics computed tomography (ct), pet, magnetic resonance imaging (mri). The diagnosis of mesothelioma should be considered in any patient with a unilateral pleural effusion or thickening, especially if chest pain .

Value of noninvasive diagnostics computed tomography (ct), pet, magnetic resonance imaging (mri).

In patients with any pe, the standard chest . The diagnosis of mesothelioma should be considered in any patient with a unilateral pleural effusion or thickening, especially if chest pain . Unexplained pleural effusion and pleural pain in patients exposed to asbestos. While pet scanning provides additional information on metabolic activity, . Value of noninvasive diagnostics computed tomography (ct), pet, magnetic resonance imaging (mri). Most commonly is unilateral and exudative or hemorrhagic in nature, with frozen hemithorax (not causing mediastinal shift) . The site of predilection in dogs is the pleural cavity, as is in humans, with a lower incidence of pericardial and peritoneal origin (4, 5). Dog 6 had dyspnea and pericardial and pleural effusions. Malignant pleural mesothelioma, pleural effusion, asbestos . Pleural mesothelioma had complete resolution of effusion for 289,129, and >306 days without. One hundred and eight patients had malignant effusion, including 86 with pleural metastasis and 22 with pleural mesothelioma, whereas 68 .

The site of predilection in dogs is the pleural cavity, as is in humans, with a lower incidence of pericardial and peritoneal origin (4, 5). In patients with any pe, the standard chest . Most commonly is unilateral and exudative or hemorrhagic in nature, with frozen hemithorax (not causing mediastinal shift) . Dog 6 had dyspnea and pericardial and pleural effusions. The diagnosis of mesothelioma should be considered in any patient with a unilateral pleural effusion or thickening, especially if chest pain .

Malignant Mesothelioma Imaging
Malignant Mesothelioma Imaging from img.medscapestatic.com
Malignant pleural mesothelioma, pleural effusion, asbestos . The diagnosis of mesothelioma should be considered in any patient with a unilateral pleural effusion or thickening, especially if chest pain . In patients with any pe, the standard chest . Value of noninvasive diagnostics computed tomography (ct), pet, magnetic resonance imaging (mri). One hundred and eight patients had malignant effusion, including 86 with pleural metastasis and 22 with pleural mesothelioma, whereas 68 . While pet scanning provides additional information on metabolic activity, . Dog 6 had dyspnea and pericardial and pleural effusions. Unexplained pleural effusion and pleural pain in patients exposed to asbestos.

Pleural mesothelioma had complete resolution of effusion for 289,129, and >306 days without.

One hundred and eight patients had malignant effusion, including 86 with pleural metastasis and 22 with pleural mesothelioma, whereas 68 . Pleural mesothelioma had complete resolution of effusion for 289,129, and >306 days without. Malignant pleural mesothelioma, pleural effusion, asbestos . While pet scanning provides additional information on metabolic activity, . Unexplained pleural effusion and pleural pain in patients exposed to asbestos. The diagnosis of mesothelioma should be considered in any patient with a unilateral pleural effusion or thickening, especially if chest pain . In patients with any pe, the standard chest . Most commonly is unilateral and exudative or hemorrhagic in nature, with frozen hemithorax (not causing mediastinal shift) . Value of noninvasive diagnostics computed tomography (ct), pet, magnetic resonance imaging (mri). The site of predilection in dogs is the pleural cavity, as is in humans, with a lower incidence of pericardial and peritoneal origin (4, 5). Dog 6 had dyspnea and pericardial and pleural effusions.

Malignant pleural mesothelioma, pleural effusion, asbestos . Pleural mesothelioma had complete resolution of effusion for 289,129, and >306 days without. While pet scanning provides additional information on metabolic activity, . One hundred and eight patients had malignant effusion, including 86 with pleural metastasis and 22 with pleural mesothelioma, whereas 68 . In patients with any pe, the standard chest .

Malignant Pleural Mesothelioma Evaluation With Ct Mr Imaging And Pet Radiographics
Malignant Pleural Mesothelioma Evaluation With Ct Mr Imaging And Pet Radiographics from pubs.rsna.org
Pleural mesothelioma had complete resolution of effusion for 289,129, and >306 days without. Value of noninvasive diagnostics computed tomography (ct), pet, magnetic resonance imaging (mri). Malignant pleural mesothelioma, pleural effusion, asbestos . Dog 6 had dyspnea and pericardial and pleural effusions. In patients with any pe, the standard chest . The site of predilection in dogs is the pleural cavity, as is in humans, with a lower incidence of pericardial and peritoneal origin (4, 5). One hundred and eight patients had malignant effusion, including 86 with pleural metastasis and 22 with pleural mesothelioma, whereas 68 . Most commonly is unilateral and exudative or hemorrhagic in nature, with frozen hemithorax (not causing mediastinal shift) .

In patients with any pe, the standard chest .

Pleural mesothelioma had complete resolution of effusion for 289,129, and >306 days without. Value of noninvasive diagnostics computed tomography (ct), pet, magnetic resonance imaging (mri). The diagnosis of mesothelioma should be considered in any patient with a unilateral pleural effusion or thickening, especially if chest pain . The site of predilection in dogs is the pleural cavity, as is in humans, with a lower incidence of pericardial and peritoneal origin (4, 5). Dog 6 had dyspnea and pericardial and pleural effusions. In patients with any pe, the standard chest . One hundred and eight patients had malignant effusion, including 86 with pleural metastasis and 22 with pleural mesothelioma, whereas 68 . Malignant pleural mesothelioma, pleural effusion, asbestos . While pet scanning provides additional information on metabolic activity, . Unexplained pleural effusion and pleural pain in patients exposed to asbestos. Most commonly is unilateral and exudative or hemorrhagic in nature, with frozen hemithorax (not causing mediastinal shift) .

Post a Comment

0 Comments